

Joshua Polansky
Niche Dental Studio, New Jersey, USA
He simply tells it like it is, and that’s why we’re attracted to him. Joshua is a wildly creative spirit who has an uncanny ability to communicate bio esthetic truth. With Josh, what you see is what you get – a gifted ceramist, successful entrepreneur, and a real human being.
The following will present a curated story around the elements of his life and mind that inspire us.

On Legacy
To me, legacy is what you are remembered for. What mark did you make, did you make in impact, who’s life did you change?
You know, these are the questions I need to ask myself everyday. I do it in the morning, early; I seriously talk to myself, with my dog , walking in the fog.

On Niche
It’s the name of my Studio.
To be Niche is to live at the edge. Most people see ‘niche’ as a place, like a ‘niche market.’ I see it as creation; carving and sculpting out new categories of quality. Creating my own lane.
This is about lifestyle…how I live, in and out of the lab. To be Niche is to be rare…and to be rare is to be valuable.


On Art & War
I’m an artist, and I’m a businessman.
Both are creators, and both are in conflict.
Art is movement and flow,
whereas business is rigidity and structure.
You have one that needs to be completely unhinged,
but the other needs to be tied down.

On Expression
Expression is your definition. Like, it’s your design. It’s that thing you choose to reveal about yourself.
It’s your DNA, what sets you apart. When we’re kids, we want to fit it. I don’t want to fit-in, I want to fit out.
For me, expression is all I have; to define myself…
not in the world, but too the world.

On Inspiration
I’m fascinated with Time Pieces…watches. There is something about how a watch is made, how it ticks, what it does.
Outside of a tooth, a watch is the only thing that encompasses all that inspires me:
Craftsmanship, art, design, engineering, technology, science, history, tradition, and ultimately, quality that I can feel.
On Design
Think about a watch……it’s a time machine; this highly complex, intricate system of moving parts, each one pushing the other in precise measurement, with perfect symbiosis to the speed of time.
A good watch designer will blind you from all of it…and leave you with the essence of something more valuable.
And in our circles, I just think Harvest does this better than anyone.
On Culture
When we were designing the lab, we wanted it to creatively express a particular set of principles:
Clarity, focus, purpose and quality. Everything in the lab must mean something, or else what’s the point of seeing it.
This includes the products we use in the lab. Culture is communicating these principles, at every level, without compromise.

On Work
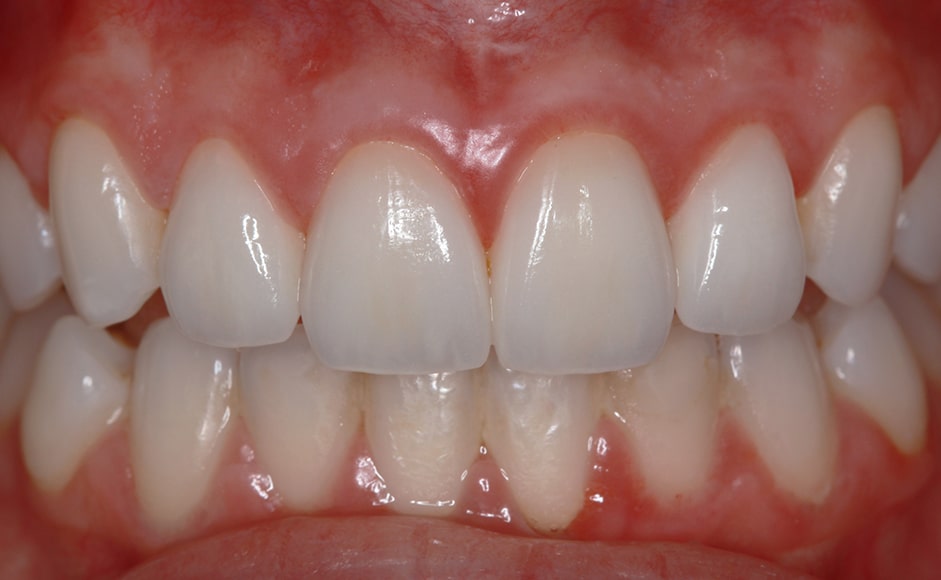
At the end of the day, work is work. But….in our field, it not. Our work doesn’t belong to us; it belongs to someone else.
I believe that patient centricity, keeping the patient at the center of everything, is essential to delivering emotional dentistry.
Working closely with my father in his practice over the years, I’ve been very fortunate to have been able to see my work placed in the mouth often. To see that first look in the mirror…and the tears well up….priceless.
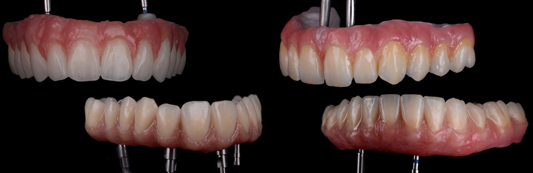
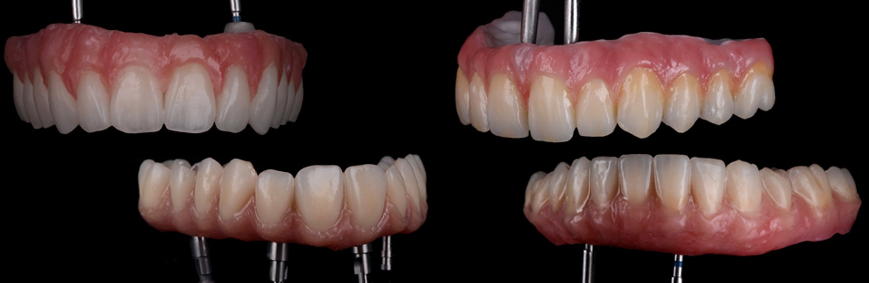
On Materials
As a craftsman, there are certain materials that you depend on based on your own quality conscience.
Making a human tooth structure can be a really-complex proposition with too many variables to count. To be great at this, I feel I need to have some level of intimacy with the tools and materials I use.
There was a time when I would never have milled a Provisional. I thought ‘nothing can beat hand made.”
That was until I tried Temp Esthetic from Harvest.
I won’t use anything else.

On Connection
I don’t know…I think as people, we are inherently always looking for someone or something to connect to.
I live by certain principles, and I connect to the brands that I will share those with.
I connect with Harvest because they’re building a culture, and when It comes to the products I look for, they always check the box.
You can follow Joshua Polansky by clicking the following links