
Alen Alić
Croatia
With great pleasure, we introduce you to Alen Alić.
A Croatian designer working through a narrow range of disciplines and materials to create a narrative and scope of work that is deeply rooted in nature.
He’s another dental technician, working quietly, emotionally, somewhere else in the world.
In the following pages, we share the concepts and ideas that move him, with confidence that you too, will be inspired.
Here’s to the outlier, living in You.

Emotion
I was born in Karlovac, Croatia in a very artistic environment. My mother is a dental technician, and I fell into fascination at a young age.
I have always found great pleasure and emotion in the arts, and the human connection to dentistry.
The smile is the pinnacle of human emotions, and for me, the dream is to connect the two

Cohesion
The base of my work is connecting things and creating an interaction between objects and the space that surrounds them. Dentistry is about cohesion. I am always thinking about its environment, and vice versa.
The symmetry, length, and fit - I think it’s very important to know how things are made before creating anything.

Philosophy
I am always thinking about the space around. It’s like a language; that there’s a communication, a strong communication, between the object and the person. They are interacting with each other.
In a sense, you are creating something new, like a shape, and at the same time, reshaping the past through texture. For me, this tension is always going together.


Principles
“The best moments are when I’m in the studio; I like to push the boundaries sometimes and go to a dimension that is a bit more philosophical.
I draw and sketch to try and capture the right balance between the proportion, the shapes, the material…and the human interaction.
It’s like you are always mapping, and stripping away to deliver the pure, valuable essence to the person.

Experience
Design language speaks to us everyday; it’s not verbal, but through the stories and journeys.
The Mixing Tray feels like a piece of furniture; the touch and feel of reoccurring elements; it’s heavy; the discreet curves; the natural materials of metal and glass.
They are all connecting and speaking to the high ground of the brand.



Materials
My creative process is often based on working with my hands.
For a craftsman, there is for me a great intimacy, not just in the work, but with the materials that I use. These are processes, and without the right ones, you can get lost.
I have a high expectation for myself and my work; therefore,
I connect with materials that are honest.

Characteristics
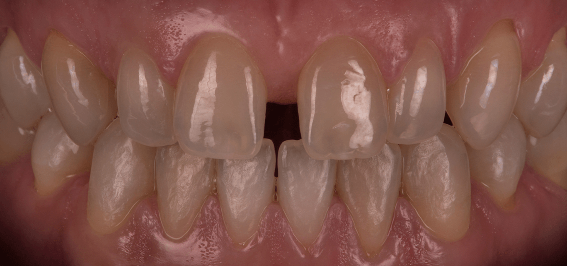
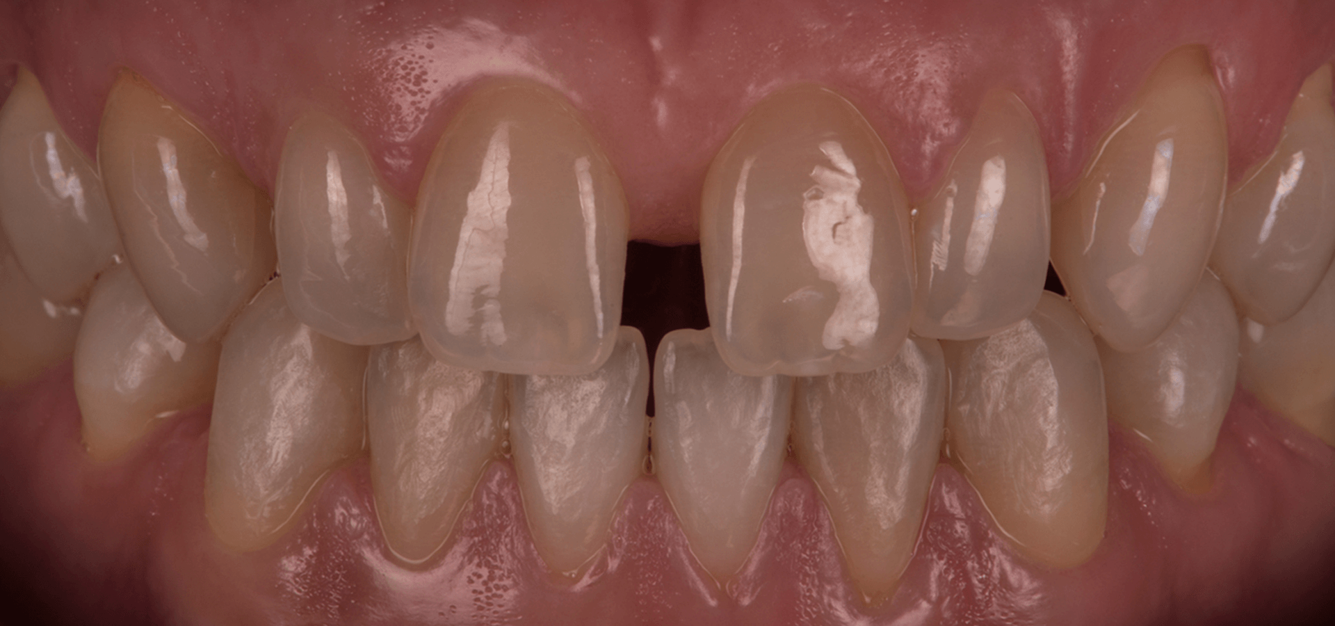
There are a couple of elements that outline the natural look of the esthetic reconstruction.
The tooth shape, texture, color and translucency – in order to achieve a special result for the person, all these characteristics must be encompassed.
dt. alen alić / dr. marko jakovac

Exclusivity
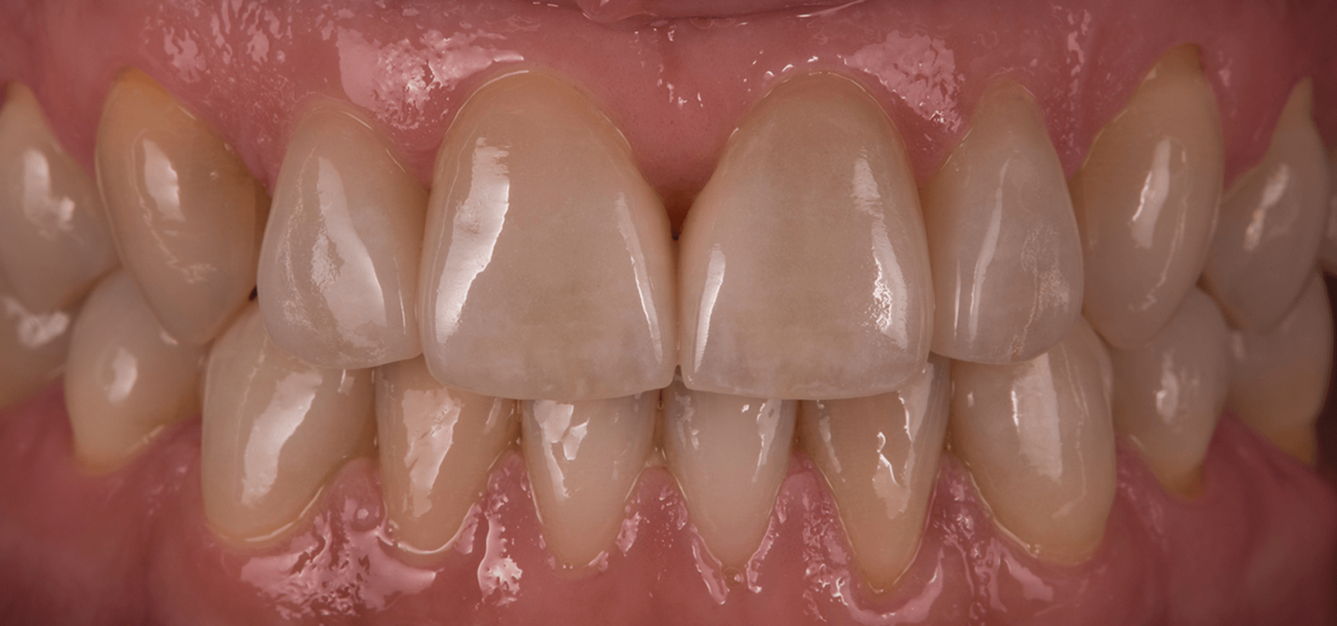
The veneers are crafted by hand with dental porcelain which demands a very complex, delicate and creative work.
My purpose is to deliver a unique type of work, bringing the levels of the esthetic to the high end.
The emotion is happening when they see their smile more beautiful than they expect; this is the result I live for.
dt. alen alić / dr. marko jakovac

Inspiration
I travel quite a bit and take a great deal of inspiration from noticing the world around me; the purity of natural shapes and forms, curves and colors, textures and spaces.
I use this as inspiration for my art, to move past what is expected of me and to create something even more special.
This is my work.
@alenalic2407
